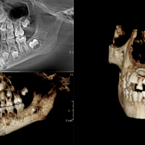
La tomografía dental completa, también conocida como tomografía computarizada de haz cónico (CBCT por sus siglas en inglés), es una técnica de imagenología avanzada utilizada en odontología para obtener imágenes detalladas de la estructura dental y ósea. A diferencia de las radiografías dentales tradicionales, que proporcionan imágenes bidimensionales, la tomografía dental completa ofrece una vista...
