Rama de la odontología que se dedica al reemplazo de dientes perdidos mediante la colocación quirúrgica de un implante dental en el maxilar o la mandíbula.

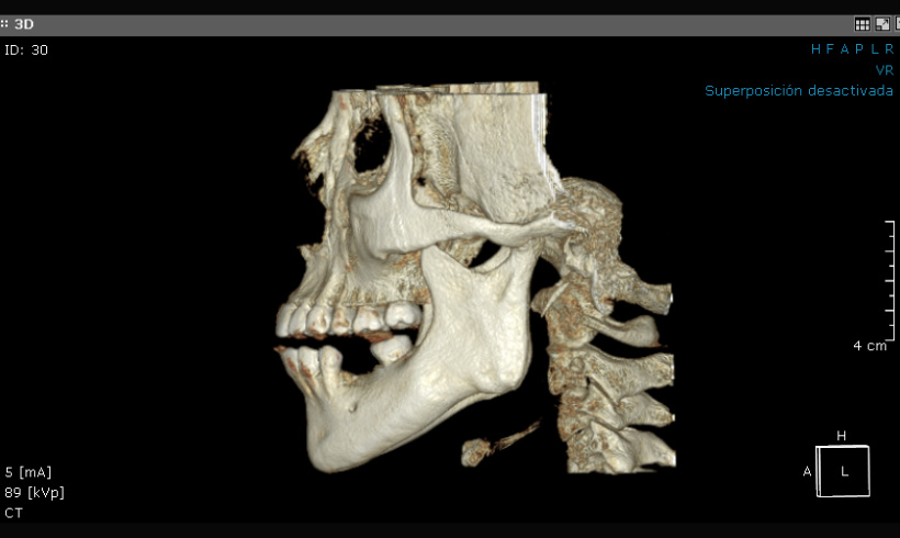
La tomografía, junto con el escaneo nos permite realizar guías quirúrgicas para la colocación de implantes, alargamiento de coronas, colocación de mini implantes de ortodoncia, tratar endodóndicamente dientes calcificados. 

Guías quirúrgicas

Las guías quirúrgicas previa correcta planeación mediante todas nuestras herramientas de diagnóstico clínico y digital, nos permite disminuir el porcentaje de errores clínicos.

Tomografía para guías quirúrgicas

Encuentra y cotiza nuestra lista de servicios y estudios disponibles.

Ubicación

Av. San Jerónimo
390 Int. 1A

Col. Jardines del Pedregal,
Álvaro Obregón 01900

Ciudad de México

Horario

Lun – Vie: 9:00 – 19:00

Sáb: 9:00 – 14:00

Dom: CERRADO

Abrir chat
Hola 👋
¿En qué podemos ayudarte?